CASE 2
The patient was initially diagnosed with systemic lupus erythematosus (SLE) and treated with corticosteroids for nearly a year. While symptoms partially improved, they recurred after steroid tapering.
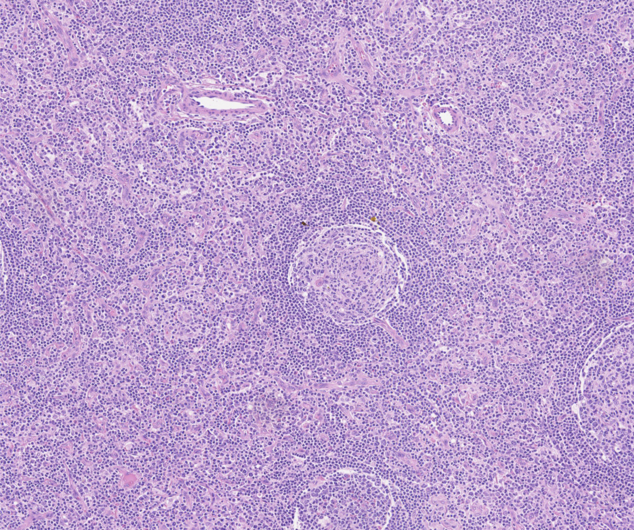
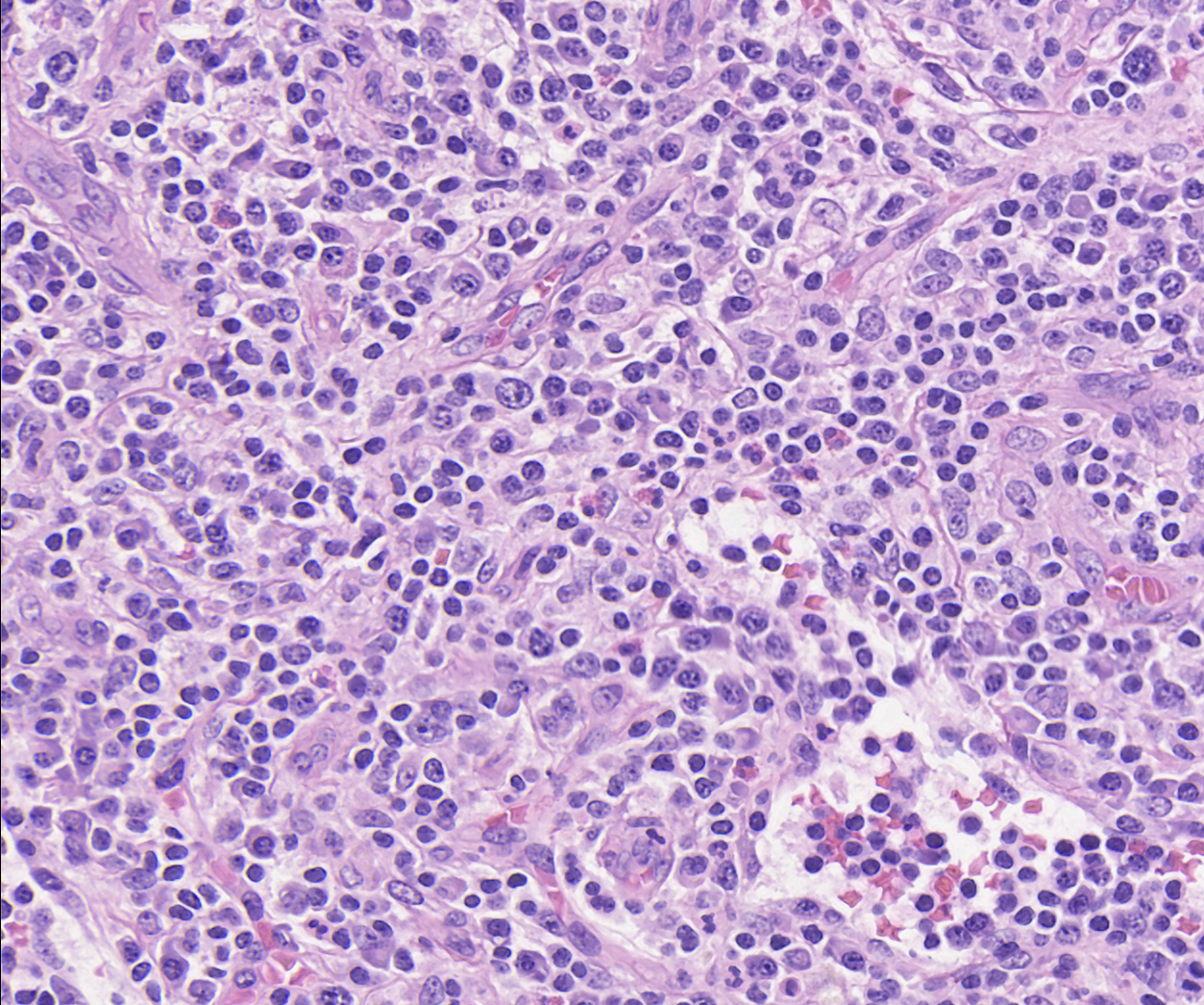
Excisional Biopsy

Grading Insight
Treatment